القائمة الرئيسية

الصفحات

 

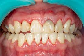
A observe Gingivitis And Periodontal disease


Gum disorder, additionally known as gingivitis, is a extreme situation on the way to usually bring about tooth loss.  With adults, gingivitis and periodontal sickness are the most commonplace types of gum disease.  To prevent both styles of gum disorder, you have to usually brush your tooth and take away as plenty plaque as viable.  in case you allow the plaque to build up, gum disorder will normally be the end result.

Gingivitis is known as irritation within the tissues of the gums.  If plaque and tartar build up alongside the gum line, the gums will eventually get swollen and angry.  over time, the gums will get very tender and start to seem puffy. While you brush your teeth, youll note that your gums have grow to be very sore and they may begin to bleed with little to no strain.  in case you note blood when brushing, chances are you have got gingivitis.  whenever you brush your teeth or floss, there shouldnt be any signal of blood.

In the course of this stage of gingivitis, there may be no loss of bone structure. You may assist to prevent gingivitis even though, via flossing and combing a few times an afternoon.  if you have gingivitis and also you dont do something about it, it may lead to periodontal sickness.  those who dont deal with gingivitis or folks that maintain negative oral hygiene habits, will usually come to be with periodontal sickness.

Periodontal ailment is a situation wherein the bone and surrounding systems are destroyed.  even though this form of mouth sickness cannot be reversed, you may positioned a forestall to its progression by means of going in your dentist on a normal basis and combing your tooth a few instances day.  Periodontal ailment is a extreme circumstance, that is why you have to usually try and prevent the development or even higher - never permit your gums and tooth get this terrible.

In case you dont do something positive about the progression of periodontal ailment, the circumstance will retain to worsen. At some point of the early levels of the ailment, youll word that your gums appear like brilliant red, and very sore.  this is due to the plaque constructing up under the gum line. When left untreated, the plaque and tartar this is beneath the gums will keep to consume at the enamel.

Remember the fact that plaque doesnt need to be visible or detected in order for periodontal sickness to be diagnosed.  To decide if you have periodontal ailment, youll want to have your dentist observe you on a regular basis.  Your dentist can perform exams in your gums and your enamel, to determine when you have it.  if you do have periodontal ailment, your dentist can tell you how to forestall the progression and save you matters from getting any worse than they already are.

Both periodontal disease and gingivitis arent typically painful and both have a tendency to progress in a sluggish style.  despite the fact that you may now not be aware that you have both of the 2 at the beginning, the signs and symptoms will start to expose inside the later ranges.  as soon as the later tiers have started out to development, youll commonly turn out to be losing the teeth. 

To be at the secure aspect and guard your teeth and your gums, you have to always go to the dentist in your regular checkups and cleansing.  in case you trap it in time, your dentist could be in a position to help you deal with the earlier levels of gum sickness.  You dont want to attend until it is too late, because the greater superior tiers of gum sickness can completely damage your teeth and gums - and there can be little to nothing that you may do approximately it.

تعليقات